一、许氏平鲉

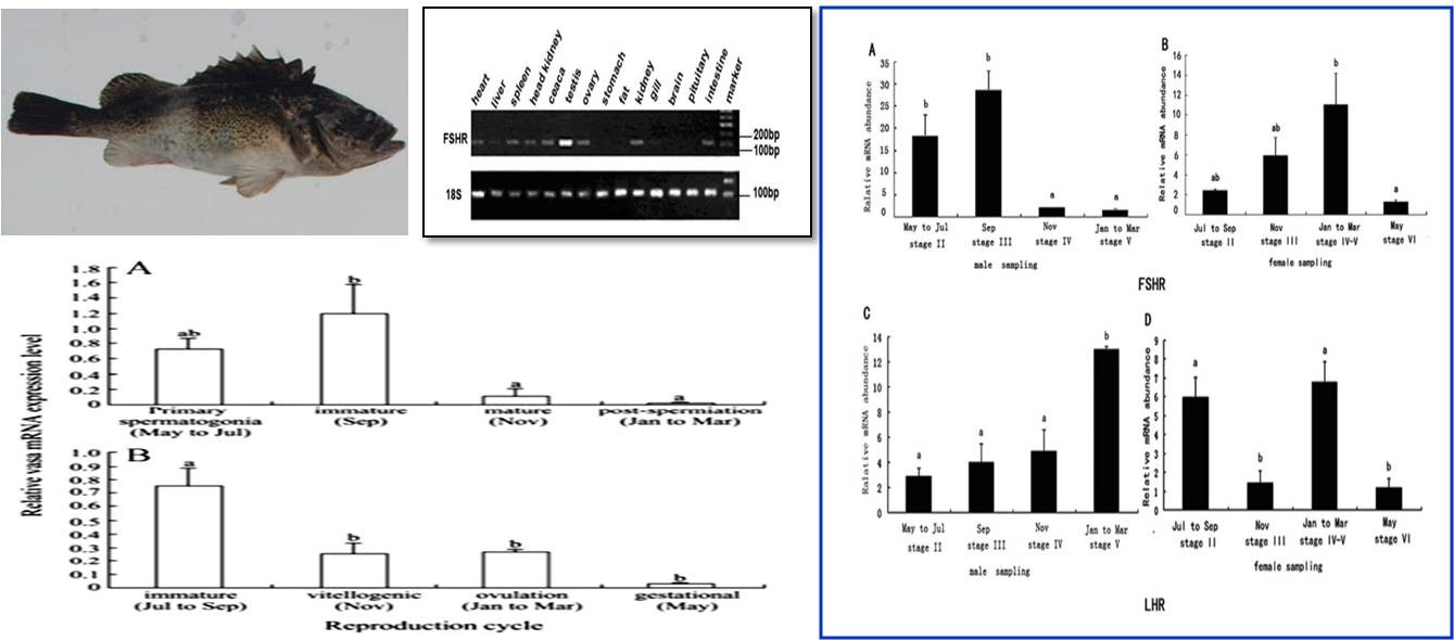
2007年至今,许氏平鲉的研究先后获得国家自然科学基金课题(3项)、教育部博士点基金课题、山东省自然科学基金重点课题的资助。依托课题支撑,团队研究了许氏平鲉繁殖与内分泌分子生理、人工繁殖与发育等内容,先后有10余名博士生和硕士生参与课题研究。已发表相关论文13篇,其中SCI收录8篇。
二、花鲈 
花鲈的研究荣获国家海水鱼产业技术体系资助、“十二五”科技支撑计划资助、国家自然科学基金课题资助,并得到山东省东营市海洋与渔业局的大力支持。研究团队目前发表相关论文10余篇,发明专利1项,培养研究生10余名。
三、虹鳟

2010年至今,虹鳟的研究得到国家农业行业公益项目和山东省农业良种工程课题的资助。实验室开展的相关研究主要包括虹鳟网箱人工驯养、养殖密度与生理机能、虹鳟三倍体制种以及金鳟繁育等,已发表相关论文10余篇。
四、鲟鱼

2010年至今,鲟鱼的研究得到国家农业行业公益项目的资助,研究内容主要包括鲟鱼的池塘人工驯养、养殖密度与生理机能等,已发表相关论文10余篇。
五、牙鲆

2002年至今,牙鲆的研究得到5项课题资助,分别为中国博士后科学基金课题、国家自然科学基金、“十一五”国家科技支撑计划课题、山东省自然科学基金课题、山东省博士后创新基金、教育部新教师基金、国家自然科学基金课题。实验室开展的主要研究内容包括牙鲆繁殖生理、繁殖内分泌、繁殖相关基因、SNP分子标记、基因甲基化等,已发表相关论文12篇,其中SCI收录10篇。
六、半滑舌鳎

2004年至今,半滑舌鳎的研究得到3项课题资助,分别为“十一五”国家科技支撑计划课题、“十一五”“863计划”课题和“十二五”“863计划”课题。实验室开展的主要研究包括养殖半滑舌鳎繁殖生理、繁殖内分泌、繁殖相关分子标记等,已发表相关论文近10篇,SCI收录5篇。
七、绿鳍马面鲀

2009—2011年,实验室承担了山东省科技攻关课题,重点针对绿鳍马面鲀的人工驯养、人工繁殖与苗种培育等开展研究,发表相关论文4篇,培养硕士生3名。研究取得的成果获得山东省科技进步三等奖1项,省级优秀研究生成果三等奖。
八、松江鲈鱼

2010—2012年,实验室承担了山东省科技攻关课题,主要围绕松江鲈鱼的人工驯养、人工繁殖与苗种培育等开展了一系列研究,发表相关论文3篇,培养硕士生2名。
|