【于广利课题组】——利用糖链原位编辑技术调控受体蛋白和离子通道功能
2018年1月2日,国际知名期刊《Angewandte Chemie International Edition》(一区,影响因子11.994)在线发表了医药学院于广利课题组蒋昊副教授的最新研究成果---“Modulating Cell-Surface Receptor Signaling and Ion Channel Functions by In Situ Glycan Editing”
(论文链接:https://doi.org/10.1002/anie.201706535)
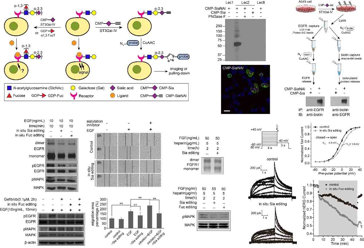
细胞表面的信号通路受体蛋白含有不同程度的糖基化修饰,受体蛋白的糖基化与“受体-配体”结合、受体成簇、内化和降解密切相关,并在调节受体激活中扮演重要角色。因此,通过改变细胞表面受体蛋白糖链的组成可以达到调节相关信号通路目的。目前对细胞糖链进行编辑的基因操作法与代谢法均会对细胞代谢状态产生长时干扰,因此, 急需开发对细胞代谢干扰小的糖链编辑新方法。

于广利教授课题组蒋昊副教授与美国Scripps研究所Peng Wu教授课题组合作,开发了一种利用外源糖基转移酶对细胞表面进行原位糖链编辑(in situ glycan editing)新方法。在利用生物正交反应(CuAAC)确认了原位糖链编辑在细胞表面和特定蛋白上的编辑效果基础上,进一步研究了α1,3岩藻糖化和α2,3唾液酸化对细胞表面表皮生长因子受体(EGFR)、成纤维细胞生长因子受体(FGFR)和人类心肌钾离子通道蛋白(hERG)功能的调节作用。研究结果表明,在人肺癌细胞A549中,α1,3岩藻糖化和α2,3唾液酸化对EGFR的激活有不同程度的抑制作用,并且这种抑制作用可以被糖基化抑制剂逆转。在人乳腺癌细胞MCF-7中,α2,3唾液酸化对FGFR的激活有抑制作用。利用该编辑技术,首次发现了在hERG稳转HEK293细胞株中,α1,3岩藻糖化和α2,3唾液酸化对hERG通道的调控模式不同,即与未糖链编辑前相比,α2,3唾液酸化后使激活曲线明显改变且激活后最大通道电流不受影响,而α1,3岩藻糖化不改变hERG通道的激活曲线但明显抑制hERG通道电流。该研究成果表明了糖链原位编辑是一种可以对细胞信号受体蛋白和离子通道功能进行研究的新方法,为进一步研究蛋白糖基化的生物学功能提供了有力工具,并为开发以糖基化为基础的药物提供了新思路。
此项研究由开云电竞网址医药学院、美国Scripps研究所分子医学系、美国佐治亚大学糖复合物研究中心、青岛大学药学院合作完成,蒋昊副教授是本论文的第一作者,蒋昊副教授和Peng Wu教授是共同通讯作者。该研究得到了NIH R01、国家自然科学基金-山东省海洋科学研究中心联合基金、中央高校基本科研业务费、山东省泰山学者专项等基金资助。
